
Weekend: online 24/7
IMPLANT DENTAR
O soluție stabilă pentru consolidarea sănătății dentare.
IMPLANT DENTAR
SIGURANȚĂ
PRIN ECHILIBRU
DENTAR
O soluție stabilă pentru consolidarea sănătății dentare.

Luni–Vineri: 8 - 18|Weekend: online 24/7
Spune-ne cu
ce te confrunți.
Suntem aici.
1.Care e situația ta actuală?
Soluții eficiente
în orice caz.


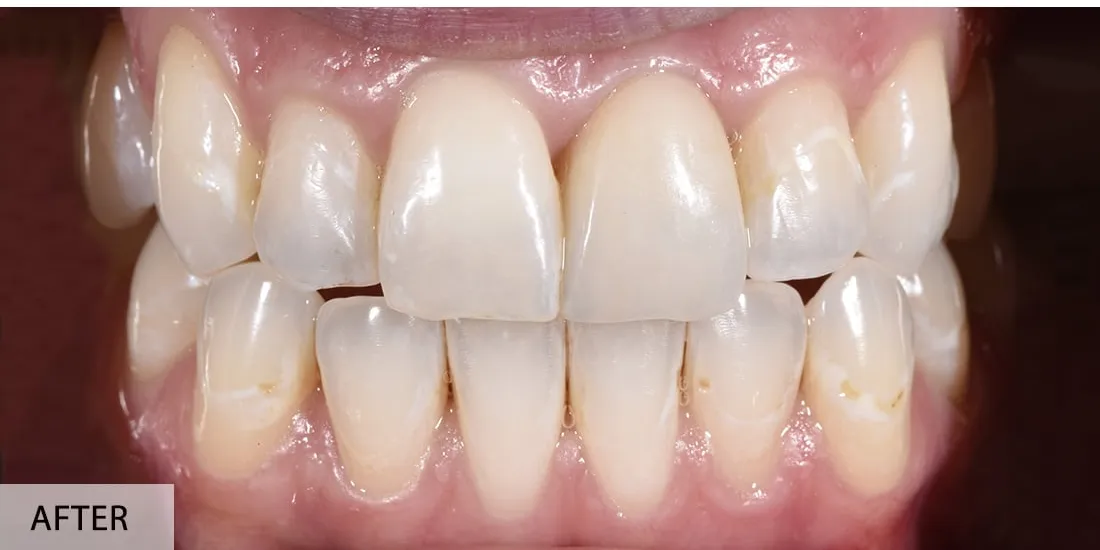
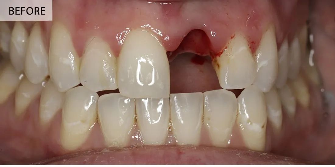
Mihai Popescu
58 de ani
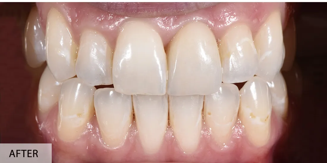
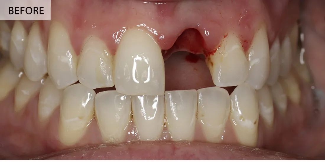
PROBLEMĂ:
Dinte lipsă. Necesită o soluție stabilă, permanentă.
SOLUȚIE:
Implant dentar + coroană fixă.
Vrei un rezultat similar?


Mihai Popescu
58 de ani
PROBLEMĂ:
Dinte lipsă. Necesită o soluție stabilă, permanentă.
SOLUȚIE:
Implant dentar + coroană fixă.


Elena Ionescu
45 de ani
PROBLEMĂ:
Dinte lipsă. Necesită o soluție stabilă, permanentă.
SOLUȚIE:
Implant dentar + coroană fixă.


Dan Vlad
52 de ani
PROBLEMĂ:
Dinte lipsă. Necesită o soluție stabilă, permanentă.
SOLUȚIE:
Implant dentar + coroană fixă.

Dr. Angela
Dumitrescu
Medic specialist implantologie
„Fiecare tratament începe cu o evaluare corectă. Alegem mereu soluția potrivită pentru pacient.”
1200+
Implanturi
15 ani
Experiență
Specializări și cursuri internaționale
DESCOPERĂ
Ce este implantul

PARTENERI DE ÎNCREDERE:
Pentru decizii informate.
Alături de tine
la fiecare pas.
Consultație și investigații
Stabilim diagnosticul și planul corect de tratament.
Consultație și investigații
Stabilim diagnosticul și planul corect de tratament.
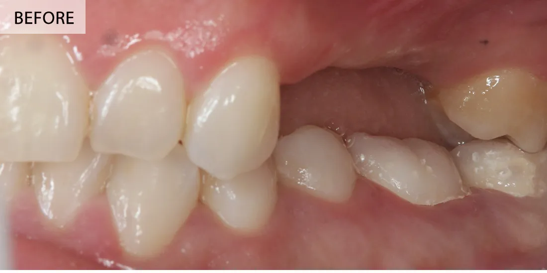
Inserarea implantului
Procedură realizată cu atenție, sub anestezie.
Inserarea implantului
Procedură realizată cu atenție, sub anestezie.
Perioada de integrare
Implantul se fixează în os.
Perioada de integrare
Implantul se fixează în os.
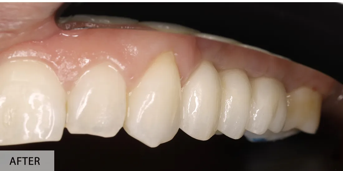
Lucrarea finală
Aplicarea coroanei dentare.
Lucrarea finală
Aplicarea coroanei dentare.
Control periodic
O dată pe an este suficient pentru verificare și menținerea rezultatului în timp.
Control periodic
O dată pe an este suficient pentru verificare și menținerea rezultatului în timp.
Alegem împreună varianta potrivită ție.
Anii de experiență
se văd în rezultate.
FAQ
Răspundem la
toate curiozitățile.
Descoperă și

Programează-ți
sănătatea.
Clinică stomatologică pe Strada Lungă 14, Brașov. Deservim pacienți din Brașov, Săcele, Codlea, Râșnov, Ghimbav și împrejurimi.


















